在我国,意外伤害是
0~14岁儿童的首位死亡原因。
暑期来临,
离开学校的孩子渴望“放飞自我”,
无法从工作中脱身的父母
却很难看管子女,
这让很多孩子处于“被散养”的状态。
溺水、交通事故、误吞异物……
各种状况频发,
时常威胁着孩子们的安全。
杭州多家医院医生发来提醒:
假期安全莫疏忽,注意防范意外伤害。
家门口玩水失足
兄妹俩双双夭折
随着气温攀升,户外玩水的人逐渐多了起来,溺水事故也进入高发。
据国家卫健委和公安部不完全统计,我国每年有5.7万人死于溺水,其中少年儿童溺水死亡人数占总数的56%。溺水已成为中小学生非正常死亡的“第一杀手”。
“这些触目惊心的数据背后,是无数个心碎的家庭。孩子在玩水时,家长哪怕只是低头看手机的几秒、转身拿东西的片刻,都可能酿成无法挽回的悲剧。”浙大儿院急诊科主任、主任医师吴秀静惋惜道,“近一个多月来,我们已收到5例溺水患儿。其中有一对兄妹,因为溺水,生命定格在了最天真烂漫的年纪。”
吴秀静介绍,这对兄妹中,哥哥3岁,妹妹2岁,因在家门口的小河边玩水不慎失足。发现孩子溺水后,家人第一时间拨打急救电话送到当地医院抢救,但由于病情过于危重,又紧急转院至浙大儿院莫干山院区。尽管经过医护人员多日抢救,兄妹俩依然深陷昏迷,毫无自主呼吸迹象,缺氧导致的严重脑损伤、脑水肿、脑疝和多器官衰竭,最终让这对兄妹的生命画上了终点。
夏季防溺水是事关生命的大事,如何预防此类悲剧的发生?
吴秀静提醒,家长需做到全程监护,远离危险水域,不要让孩子独自或结伴在河边、池塘、水库等水域玩耍;带孩子游泳时,选择正规场所,全程陪伴,拒绝“低头看手机”或做其他分散注意力的事情。
同时,也要教会孩子“六不准”原则:
不私自下水游泳;
不擅自与他人结伴游泳;
不在无家长或教师带领的情况下游泳;
不到无安全设施、无救援人员的水域游泳;
不到不熟悉的水域游泳;
不盲目下水施救。
如果发现有人溺水,首先要确保自身安全,可第一时间大声呼救,寻求成人帮助,拨打120急救电话;也可以利用竹竿、树枝、长绳等延伸物让溺水者抓住上岸,或将救生圈、空矿泉水瓶等漂浮物抛给溺水者。当溺水者被救上岸后,立即清除口鼻内的异物,保持呼吸道通畅;若溺水者没有呼吸和心跳,应立刻进行心肺复苏。
“每一次抢救,我们都拼尽全力,但有时生命太过脆弱,儿童溺水预防是第一位,需要家庭、学校和社会共同努力,把悲剧扼杀在萌芽之中。”吴秀静说。
乘坐电瓶车被撞飞
6岁男孩颅骨骨折
暑假期间,走亲访友,旅行研学,儿童交通安全问题也不容忽视。尤其是骑车带娃出行的家长,更要做好相应防护措施。
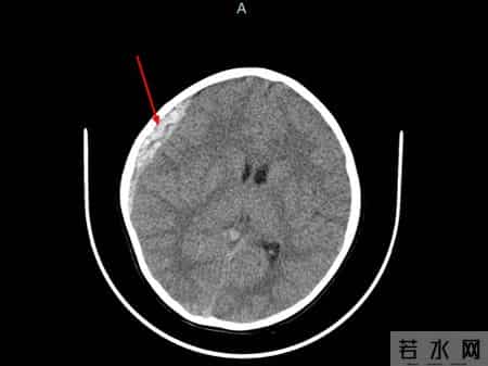
右侧头皮血肿,恶心、呕吐,嘴里喊着“头痛”……近日,6岁男孩童童(化名)被紧急送入杭州市妇女儿童医疗集团朝晖院区(杭州市儿童医院)急诊抢救大厅。
据悉,当天是家长骑着电瓶车带娃出去玩,谁知半路被一辆小汽车撞倒,孩子顺势飞了出去,头重重磕在地上。
之后,急诊团队迅速为童童完善相关检查,头颅CT检查结果显示:右额顶骨骨折,右侧颞顶部硬膜外血肿,中线结构明显偏移,随时可能发生脑疝。

杭州市儿童医院供图
而此时,童童的情况也越来越差,不仅出现喷射状呕吐,意识也逐渐模糊。
在争分夺秒的时刻,童童立马被推进手术,神经外科、麻醉科等多学科团队携手展开抢救,最终童童顺利逃过一劫。
急诊科副主任、主任医师张彩云介绍,儿童头重脚轻的特殊生理结构,使其在遭遇意外时,头部更容易受到冲击,所以在乘坐电瓶车出行时,一定要戴好头盔。“但要注意的是,不建议孩子戴成人头盔,因为儿童脑袋小,成人头盔无法紧密贴合,在碰撞时易脱落,还有可能会造成二次伤害。”
相比童童,新新(化名)虽没遭遇生命危险,但情况也没好到哪去,右腿巨大的伤口让人揪心不已。原来,新新乘坐的电瓶车不慎撞到路边护栏,一瞬间,孩子小腿的皮肤都“掉”下来了,在被紧急送到杭州市儿童医院骨科病房后,经检查为皮肤脱套伤。
“皮肤脱套伤是骨科最严重的外伤之一,是指大块皮肤及其下方的软组织层部分或完全从肌肉和连接的组织上剥脱下来的情况,若不及时治疗,极易导致皮肤坏死甚至休克。”骨科副主任、副主任医师王浩然说,之后骨科团队迅速为新新做了相应治疗,“但是由于受伤面积大,若想完全恢复还需要一段时间。”
骨科医生提醒:若不慎遭遇脱套伤,切勿强行拉回皮肤,请及时就医。其间应立即停止活动,并用清洁纱布或毛巾覆盖伤口,用手指按压伤口边缘止血,但要注意切勿直接按压撕脱组织,对于撕脱皮肤,应用湿润纱布包裹后随伤员送医。
误吞两颗磁铁
8岁女孩肠穿孔
假期外出危险重重,待在室内就安全了?未必。一些看似无害的小物件,也有可能分分钟把孩子送进手术室。
近日,8岁的甜甜(化名)玩耍时,突然对墙上的吸铁石产生了兴趣,顺手拿下来含在嘴里,一不小心将两颗直径1厘米的磁铁片吞进了肚子里。
回到家后,甜甜把这件事告诉了妈妈,妈妈有些担心,但想着可能过两天就能自然排出,没太在意。可谁也没想到,就在一天后,甜甜突然感到腹部剧痛,捂着肚子满地打滚,痛得直冒冷汗。家人赶紧把她送到了杭州市第一人民医院消化内科。
接诊医生了解情况后,马上为甜甜安排了拍片检查。在x光片上,医生果然发现了端倪:两颗1厘米直径的磁铁片紧紧吸在一起,呈现一个正方形。“很有可能是两颗磁铁片隔着肠壁吸在一起,这种情况十分危险。”
之后,甜甜被转入胃肠肛外科。经腹腔镜探查,接诊的主治医师王亮发现了甜甜腹中的磁铁,这两颗磁铁片隔着肠壁紧紧地吸在一起,把两段肠子硬生生“焊”成了“连体婴”,磁铁片的强大吸力导致肠壁长时间受到挤压,加上摩擦作用,直接造成肠穿孔。所幸通过微创手术,磁铁被顺利取出,甜甜也顺利康复出院。

取出的两枚磁铁片/杭州市第一人民医院供图
“这已经不是我们接诊的第一例磁铁误食病例了!”王亮表示,诸如磁力珠、磁力片等磁铁类异物,如果多颗同时进入肠道,会跨越肠壁互相吸引,牢牢地夹住肠壁,簇拥成团造成肠梗阻、肠扭转。随着时间的推移,肠壁因为磁力的不断挤压会出现缺血坏死,导致肠穿孔。一旦发生肠穿孔,肠内的消化液及细菌都会流到腹腔,造成腹腔感染,而严重的腹腔感染,如果没有及时干预会引起全身感染,导致患儿休克、多器官功能障碍,甚至死亡。
他提醒,不仅是磁铁,像硬币、玩具零件、整壳坚果、纽扣、别针等小物品,吞服后可能也会造成危险,家长一定要加强日常看护并对孩子进行安全告知。
转自:潮新闻
来源: 浙江新闻频道
本文标题:紧急提醒!浙江多人离奇发烧!已有人死亡,心碎!浙江2岁妹妹,3岁哥哥遇难……紧急提醒:不要去,不要去
本文链接:http://www.hniuzsjy.cn/cxzt/caiku/221919.html
